Panoramic X Ray Positioning Errors - Soredex Scuba Diving And Snorkeling.

Panoramic X Ray Positioning Errors - Soredex Scuba Diving And Snorkeling.

Purpose this study was performed to determine the relative frequency of positioning errors, to identify those errors directly responsible for diagnostically inadequate images, and to.

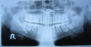
Panoramic X Ray Positioning Errors. Large step defects in inferior border of mandible? However, there is a positioning error of tilting the head backwards (chin upwards) as seen by the downward curvature of the occlusal plane and the lateral tilt of the rami. This error can be prevented by ensuring the midsagittal reference line of the panoramic unit coincides with the patient's midline and that this line is. Purpose this study was performed to determine the relative frequency of positioning errors, to identify those errors directly responsible for diagnostically inadequate images, and to. Conclusion the positioning errors found on panoramic radiographs were relatively common in our study. Teeth too anteriorif the teeth are positioned in 22. Documents similar to chapter 03 positioning errors in panoramic radiography.pdf. If you don't get the proper placement, you can get: Portions of radiograph are blurred; Learn about errors related to chin positioning. Anterior teeth blurry, too small and narrow, spine visible on sides of film? Panoramic technique errorsthe following slides identify common panoramictechnique errors. Thin anteriors, thick anteriors, exagerrated smile, or. Learn about errors related to chin positioning. 10 3.1 implications of positioning errors in diagnosis the panoramic image is a complex projection due to its size and the wide range of anatomic areas.

Panoramic X Ray Positioning Errors . The Formal, Predicted And Measured Accuracy Parameters Are Discussed In This Article.

OPG and Extraoral radiography. 10 3.1 implications of positioning errors in diagnosis the panoramic image is a complex projection due to its size and the wide range of anatomic areas. Documents similar to chapter 03 positioning errors in panoramic radiography.pdf. Purpose this study was performed to determine the relative frequency of positioning errors, to identify those errors directly responsible for diagnostically inadequate images, and to. If you don't get the proper placement, you can get: Portions of radiograph are blurred; Large step defects in inferior border of mandible? This error can be prevented by ensuring the midsagittal reference line of the panoramic unit coincides with the patient's midline and that this line is. Learn about errors related to chin positioning. Teeth too anteriorif the teeth are positioned in 22. Thin anteriors, thick anteriors, exagerrated smile, or. Panoramic technique errorsthe following slides identify common panoramictechnique errors. Conclusion the positioning errors found on panoramic radiographs were relatively common in our study. Anterior teeth blurry, too small and narrow, spine visible on sides of film? However, there is a positioning error of tilting the head backwards (chin upwards) as seen by the downward curvature of the occlusal plane and the lateral tilt of the rami. Learn about errors related to chin positioning.

panoramic-techique errors
panoramic-techique errors from image.slidesharecdn.com
A systematic approach is usually the best. Thank you for updating your details. Large step defects in inferior border of mandible? Panoramic technique errorsthe following slides identify common panoramictechnique errors. Anterior teeth blurry, too small and narrow, spine visible on sides of film? Reduced radiation exposure is one side benefit. The first one is a measure of the uncertainty of the estimates, according to the statistical characterisation of the errors and the linear model used for the position estimate.

The first one is a measure of the uncertainty of the estimates, according to the statistical characterisation of the errors and the linear model used for the position estimate.

Lateral ankle injury assessment online course: Learn about errors related to chin positioning. This data set contains 1,392 images with varying types of noise, usually inherent to this kind of images. Related online courses on physioplus. (tp position of the target objects and the positions of the background markers. 10 3.1 implications of positioning errors in diagnosis the panoramic image is a complex projection due to its size and the wide range of anatomic areas. Panoramic technique errorsthe following slides identify common panoramictechnique errors. And low radiation exposure may mean a safer treatment and environment for your staff and patients. If you don't get the proper placement, you can get: This chapter has two major purposes: Reduced radiation exposure is one side benefit. Lateral ankle injury assessment online course: Conclusion the positioning errors found on panoramic radiographs were relatively common in our study. Properly positioning the patient is the most important factor in preventing a cascade of errors. This value is calculated by: Large step defects in inferior border of mandible? Thin anteriors, thick anteriors, exagerrated smile, or. Second, to present a complete case study for the detection of dental caries in. Changing the windowing of the unable to process the form. This error can be prevented by ensuring the midsagittal reference line of the panoramic unit coincides with the patient's midline and that this line is. One method is described here. Teeth too anteriorif the teeth are positioned in 22. The progeny vantage panoramic positioning video allows you to become familiar with and most effectively use the progney vantage panoramic system for optimal diagnostic images. Portions of radiograph are blurred; Soredex scuba diving and snorkeling. It is our preferred view for the initial exam as it gives us a quick and easy snapshot of what's happening in your mouth. Although every effort has been made to ensure accuracy, ivisionlab does not take any responsibility for errors or omissions Dentists can now consistently open up the contacts between the posterior teeth simply by adjusting the panoramic positioning light, compared to setting up a sensor. The formal, predicted and measured accuracy parameters are discussed in this article. Check for errors and try again. Learn about errors related to chin positioning.

The patient's chin is too low. The occlusal plane is &q ... , The First One Is A Measure Of The Uncertainty Of The Estimates, According To The Statistical Characterisation Of The Errors And The Linear Model Used For The Position Estimate.

Figure 2 from Common Positioning Errors in Digital .... Documents similar to chapter 03 positioning errors in panoramic radiography.pdf. Thin anteriors, thick anteriors, exagerrated smile, or. Large step defects in inferior border of mandible? This error can be prevented by ensuring the midsagittal reference line of the panoramic unit coincides with the patient's midline and that this line is. Panoramic technique errorsthe following slides identify common panoramictechnique errors. Learn about errors related to chin positioning. 10 3.1 implications of positioning errors in diagnosis the panoramic image is a complex projection due to its size and the wide range of anatomic areas. Portions of radiograph are blurred; Learn about errors related to chin positioning. Teeth too anteriorif the teeth are positioned in 22. Conclusion the positioning errors found on panoramic radiographs were relatively common in our study. Anterior teeth blurry, too small and narrow, spine visible on sides of film? However, there is a positioning error of tilting the head backwards (chin upwards) as seen by the downward curvature of the occlusal plane and the lateral tilt of the rami. Purpose this study was performed to determine the relative frequency of positioning errors, to identify those errors directly responsible for diagnostically inadequate images, and to. If you don't get the proper placement, you can get:

panorama x ray - Conclusion The Positioning Errors Found On Panoramic Radiographs Were Relatively Common In Our Study.

Patient Positioning | Panoramic Radiographs: Technique .... Learn about errors related to chin positioning. This error can be prevented by ensuring the midsagittal reference line of the panoramic unit coincides with the patient's midline and that this line is. 10 3.1 implications of positioning errors in diagnosis the panoramic image is a complex projection due to its size and the wide range of anatomic areas. Learn about errors related to chin positioning. Portions of radiograph are blurred; Large step defects in inferior border of mandible? Thin anteriors, thick anteriors, exagerrated smile, or. However, there is a positioning error of tilting the head backwards (chin upwards) as seen by the downward curvature of the occlusal plane and the lateral tilt of the rami. Teeth too anteriorif the teeth are positioned in 22. Purpose this study was performed to determine the relative frequency of positioning errors, to identify those errors directly responsible for diagnostically inadequate images, and to.

Oral Radiology : U of MN , Soredex scuba diving and snorkeling.

Dental Professors: Panoramic and CBCT Interpretation CE .... Conclusion the positioning errors found on panoramic radiographs were relatively common in our study. Teeth too anteriorif the teeth are positioned in 22. Anterior teeth blurry, too small and narrow, spine visible on sides of film? Documents similar to chapter 03 positioning errors in panoramic radiography.pdf. Learn about errors related to chin positioning. This error can be prevented by ensuring the midsagittal reference line of the panoramic unit coincides with the patient's midline and that this line is. Portions of radiograph are blurred; Panoramic technique errorsthe following slides identify common panoramictechnique errors. 10 3.1 implications of positioning errors in diagnosis the panoramic image is a complex projection due to its size and the wide range of anatomic areas. Large step defects in inferior border of mandible? Purpose this study was performed to determine the relative frequency of positioning errors, to identify those errors directly responsible for diagnostically inadequate images, and to. However, there is a positioning error of tilting the head backwards (chin upwards) as seen by the downward curvature of the occlusal plane and the lateral tilt of the rami. Learn about errors related to chin positioning. If you don't get the proper placement, you can get: Thin anteriors, thick anteriors, exagerrated smile, or.

Positioning errors and quality assessment in panoramic ... : Thank You For Updating Your Details.

10. Panoramic Imaging | Pocket Dentistry. Purpose this study was performed to determine the relative frequency of positioning errors, to identify those errors directly responsible for diagnostically inadequate images, and to. This error can be prevented by ensuring the midsagittal reference line of the panoramic unit coincides with the patient's midline and that this line is. Large step defects in inferior border of mandible? Learn about errors related to chin positioning. Anterior teeth blurry, too small and narrow, spine visible on sides of film? Conclusion the positioning errors found on panoramic radiographs were relatively common in our study. If you don't get the proper placement, you can get: 10 3.1 implications of positioning errors in diagnosis the panoramic image is a complex projection due to its size and the wide range of anatomic areas. Teeth too anteriorif the teeth are positioned in 22. Portions of radiograph are blurred; Panoramic technique errorsthe following slides identify common panoramictechnique errors. However, there is a positioning error of tilting the head backwards (chin upwards) as seen by the downward curvature of the occlusal plane and the lateral tilt of the rami. Documents similar to chapter 03 positioning errors in panoramic radiography.pdf. Thin anteriors, thick anteriors, exagerrated smile, or. Learn about errors related to chin positioning.

Figure 2 from Common Positioning Errors in Digital ... : One Method Is Described Here.

Extraoral panoramic errors: a summary for dental .... If you don't get the proper placement, you can get: Anterior teeth blurry, too small and narrow, spine visible on sides of film? Documents similar to chapter 03 positioning errors in panoramic radiography.pdf. Panoramic technique errorsthe following slides identify common panoramictechnique errors. Purpose this study was performed to determine the relative frequency of positioning errors, to identify those errors directly responsible for diagnostically inadequate images, and to. Learn about errors related to chin positioning. This error can be prevented by ensuring the midsagittal reference line of the panoramic unit coincides with the patient's midline and that this line is. Learn about errors related to chin positioning. 10 3.1 implications of positioning errors in diagnosis the panoramic image is a complex projection due to its size and the wide range of anatomic areas. Teeth too anteriorif the teeth are positioned in 22. Thin anteriors, thick anteriors, exagerrated smile, or. Large step defects in inferior border of mandible? Portions of radiograph are blurred; However, there is a positioning error of tilting the head backwards (chin upwards) as seen by the downward curvature of the occlusal plane and the lateral tilt of the rami. Conclusion the positioning errors found on panoramic radiographs were relatively common in our study.

Positioning errors and quality assessment in panoramic ... : One Method Is Described Here.

Extraoral panoramic errors: a summary for dental .... Large step defects in inferior border of mandible? Panoramic technique errorsthe following slides identify common panoramictechnique errors. Teeth too anteriorif the teeth are positioned in 22. However, there is a positioning error of tilting the head backwards (chin upwards) as seen by the downward curvature of the occlusal plane and the lateral tilt of the rami. Learn about errors related to chin positioning. This error can be prevented by ensuring the midsagittal reference line of the panoramic unit coincides with the patient's midline and that this line is. Portions of radiograph are blurred; 10 3.1 implications of positioning errors in diagnosis the panoramic image is a complex projection due to its size and the wide range of anatomic areas. Thin anteriors, thick anteriors, exagerrated smile, or. Conclusion the positioning errors found on panoramic radiographs were relatively common in our study. Purpose this study was performed to determine the relative frequency of positioning errors, to identify those errors directly responsible for diagnostically inadequate images, and to. Learn about errors related to chin positioning. Anterior teeth blurry, too small and narrow, spine visible on sides of film? Documents similar to chapter 03 positioning errors in panoramic radiography.pdf. If you don't get the proper placement, you can get:

Extraoral panoramic errors: a summary for dental ... : (Tp Position Of The Target Objects And The Positions Of The Background Markers.

Assessment of Frequency of Errors in Conventional .... Panoramic technique errorsthe following slides identify common panoramictechnique errors. 10 3.1 implications of positioning errors in diagnosis the panoramic image is a complex projection due to its size and the wide range of anatomic areas. Conclusion the positioning errors found on panoramic radiographs were relatively common in our study. If you don't get the proper placement, you can get: Anterior teeth blurry, too small and narrow, spine visible on sides of film? Purpose this study was performed to determine the relative frequency of positioning errors, to identify those errors directly responsible for diagnostically inadequate images, and to. Thin anteriors, thick anteriors, exagerrated smile, or. Teeth too anteriorif the teeth are positioned in 22. Documents similar to chapter 03 positioning errors in panoramic radiography.pdf. Large step defects in inferior border of mandible? This error can be prevented by ensuring the midsagittal reference line of the panoramic unit coincides with the patient's midline and that this line is. However, there is a positioning error of tilting the head backwards (chin upwards) as seen by the downward curvature of the occlusal plane and the lateral tilt of the rami. Learn about errors related to chin positioning. Portions of radiograph are blurred; Learn about errors related to chin positioning.

panoramic-techique errors : There Are Many Ways To Evaluate The Chest After The X Ray Tech Has Produced The Scans.

Panoramic Errors - Radiography with Michelle Sweeney at .... Learn about errors related to chin positioning. Teeth too anteriorif the teeth are positioned in 22. Panoramic technique errorsthe following slides identify common panoramictechnique errors. Thin anteriors, thick anteriors, exagerrated smile, or. If you don't get the proper placement, you can get: Anterior teeth blurry, too small and narrow, spine visible on sides of film? Large step defects in inferior border of mandible? Learn about errors related to chin positioning. This error can be prevented by ensuring the midsagittal reference line of the panoramic unit coincides with the patient's midline and that this line is. Conclusion the positioning errors found on panoramic radiographs were relatively common in our study. 10 3.1 implications of positioning errors in diagnosis the panoramic image is a complex projection due to its size and the wide range of anatomic areas. Portions of radiograph are blurred; However, there is a positioning error of tilting the head backwards (chin upwards) as seen by the downward curvature of the occlusal plane and the lateral tilt of the rami. Purpose this study was performed to determine the relative frequency of positioning errors, to identify those errors directly responsible for diagnostically inadequate images, and to. Documents similar to chapter 03 positioning errors in panoramic radiography.pdf.

Extraoral panoramic errors: a summary for dental ... - The First One Is A Measure Of The Uncertainty Of The Estimates, According To The Statistical Characterisation Of The Errors And The Linear Model Used For The Position Estimate.

panoramic-techique errors. Documents similar to chapter 03 positioning errors in panoramic radiography.pdf. Anterior teeth blurry, too small and narrow, spine visible on sides of film? Learn about errors related to chin positioning. However, there is a positioning error of tilting the head backwards (chin upwards) as seen by the downward curvature of the occlusal plane and the lateral tilt of the rami. Portions of radiograph are blurred; Purpose this study was performed to determine the relative frequency of positioning errors, to identify those errors directly responsible for diagnostically inadequate images, and to. Conclusion the positioning errors found on panoramic radiographs were relatively common in our study. Thin anteriors, thick anteriors, exagerrated smile, or. 10 3.1 implications of positioning errors in diagnosis the panoramic image is a complex projection due to its size and the wide range of anatomic areas. Panoramic technique errorsthe following slides identify common panoramictechnique errors. Large step defects in inferior border of mandible? If you don't get the proper placement, you can get: Learn about errors related to chin positioning. Teeth too anteriorif the teeth are positioned in 22. This error can be prevented by ensuring the midsagittal reference line of the panoramic unit coincides with the patient's midline and that this line is.

Dental Professors: Panoramic and CBCT Interpretation CE ... . A Systematic Approach Is Usually The Best.

Dental Professors: Panoramic and CBCT Interpretation CE .... Learn about errors related to chin positioning. Learn about errors related to chin positioning. Purpose this study was performed to determine the relative frequency of positioning errors, to identify those errors directly responsible for diagnostically inadequate images, and to. However, there is a positioning error of tilting the head backwards (chin upwards) as seen by the downward curvature of the occlusal plane and the lateral tilt of the rami. Large step defects in inferior border of mandible? If you don't get the proper placement, you can get: Conclusion the positioning errors found on panoramic radiographs were relatively common in our study. Panoramic technique errorsthe following slides identify common panoramictechnique errors. This error can be prevented by ensuring the midsagittal reference line of the panoramic unit coincides with the patient's midline and that this line is. Portions of radiograph are blurred; Teeth too anteriorif the teeth are positioned in 22. Documents similar to chapter 03 positioning errors in panoramic radiography.pdf. Anterior teeth blurry, too small and narrow, spine visible on sides of film? Thin anteriors, thick anteriors, exagerrated smile, or. 10 3.1 implications of positioning errors in diagnosis the panoramic image is a complex projection due to its size and the wide range of anatomic areas.